こんにちは、小児歯科専門医の中村です。
もう2月が終わって、3月になりますね。
この時期、個人的には歯科関係の国家試験の結果発表がとても気になる季節です。
2026年度は歯科医師が3月16日、歯科衛生士と歯科技工士が3月26日に合格発表されますね。
私は以前、歯科技工士専門学校で小児歯科の授業を担当していた時期があり、定期試験の際には国家試験の過去問を調べて真剣に作問していました。懐かしいです。
まだ結果が分からず不安な日々を過ごしていると思いますが、新年度にはやる気に満ち溢れている新人たちと会えることを楽しみにしています。
さて今回は、技工士学校で主に授業していた小児の保隙装置についてお話ししたいと思います。
保隙装置とは、隙間を保つ装置です。
乳歯が本来の生え替わりよりも何らかの影響で早期に失われた場合、そのまま放置していると隣の歯が傾いてきて、その隙間がなくなってしまいます。その後に生える大人の歯が生える隙間が足りず歯並びに影響が出ます。
そのため、乳歯が予定より早く抜けた際は保隙装置を使ってスペースを保ちます。
保隙装置には幾つか種類があり、今回は私が主に使用する3つの保隙装置について説明します。
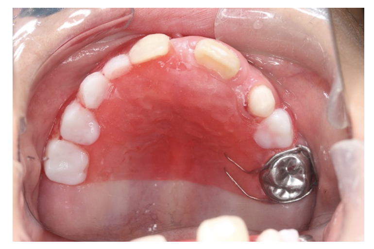
①バンドループ(クラウンループ)
乳歯の奥歯が1本だけ無くなった時に使用します。
無くなった部分の後ろの歯から手前の歯へつっかえ棒のようにする装置です。
保険適応となっています。セメントで固定し、永久歯が生えるまで使用します。
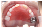
②リンガルアーチ
6歳臼歯が生えていて乳歯の奥歯が2本以上なくなった場合に使用します。
6歳臼歯に金属の輪をはめて、前歯に対してつっかえ棒をする形になります。
現時点では保険適応外です。
バンドループと同じくセメントで固定し、永久歯が生えるまで使用します。
③可撤保隙装置(小児義歯)
少数〜多数の乳歯がなくなった場合に使用します。
入れ歯を使用してスペースを保ちます。
①、②とは異なり取り外し式の装置です。毎日使用していないとあわなくなってしまいます。
子ども自身での管理が必要なため、3歳未満は使用できません。
現時点では保険適応外のことが多いです。
今回紹介した以外にも保隙装置はありますが、今回は私が主に使用するものをご紹介させていただきました。
乳歯が本来の生え替わりより早く抜かなければならない場合の例として、虫歯があります。
乳歯が重度の虫歯の場合、そのままにしておくと永久歯に影響が出てしまうため、抜歯が必要になります。その際に、保隙装置が必要になることが多いです。乳歯が重度な虫歯でも適切な対応をすることで、健康な永久歯へつなげることができる。そのために必要になる装置です。
そのような虫歯にならないことが最優先ですが、もしそんな状況になった場合は改めて丁寧に説明しますので、検討してみてください。

