みなさんこんにちは!青葉会事務局の庄子です!いつもご利用いただきありがとうございます!
みなさんはタバコを吸ったり、吸っていた経験はありますか?「タバコは体に良くない」と言いますが、もちろん歯にも良くありません!!タバコの煙には数千もの化学物質が含まれています。その中でもニコチンというものや発癌性物質などの有害な物質が200~300もあると言われているのです。そしてタバコは歯を失う原因の1つである歯周病の進行を早めたり歯周病になりやすくなる原因になってしまいます。
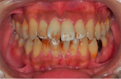
そしてタバコを吸う方で悩んでいる方が多いのがタバコのヤニです。タバコのヤニが歯に着くと・・茶色くなって見た目が悪いですよね。また見た目の問題だけではなくて、ヤニのせいで歯がザラザラしてばい菌が張り付きやすくなってしまったり、いつまでも口の中や歯茎にニコチンなどの有害物質が染み出しつづけるようになってしまいます。口臭の原因にのなりますね。
タバコのヤニは落とせる?
タバコのヤニは頑固に歯にこびりついているので、頑張って歯を磨いてもなかなか取れないところもあるでしょう。そこで歯医者さんに行って歯のクリーニングをしてもらおう!!と思い歯科医院に来院される方は多いですが、注意が必要です。
保険適用の歯のクリーニング(歯周病の処置)
当院でも多くの患者さんが歯のクリーニングをしに来院していますが、ほとんどが「歯周病・虫歯の予防としての処置」として行っている歯石除去です。健康保険を使う場合は決まりで検査をして、歯周病や歯肉炎ですよ・・という診断結果必要になるのです。なので歯周ポケットをはかったり、レントゲンを撮ったり、口の中の写真を撮ったりして検査が必要になるのです。ですので、タバコのヤニを取りたい!!と思っても、保険の決まりで病気に対する処置しかできないので(タバコのヤニは病気ではないので・・)クリーニングをうけることは可能ですが、ひどくこびりついたヤニは落とせない可能性が高いです・・。
自費のタバコのヤニを落とすための歯のクリーニング(審美目的)
では、ヤニをどうしても落としたい!!というときは、保険を使わずに歯のクリーニングを受けましょう。そうすれば保険のルールに縛られることはないので、タバコのヤニだって綺麗に落としてもらえます。ただし、健康保険適用ではないので、費用は少し高くなります。でも保険を使って検査・クリーニングに何回も通う(歯石が沢山ついていたりすると1回ではクリーニングは終わらないことが多いです)と費用もそれなりにかかるので、自費でクリーニングをした方が、ヤニもキレイになるし、歯周病の予防にだってなるので、もしかしたら保険よりも自費の方が安くすむケースもあるのです。何回も歯医者さんい通わないといけない・・・というめんどくさがりの方にも最適なのではないでしょうか??
タバコを吸わない方や歯の汚れ(茶渋など)が気にならない方は健康保険を使った歯周病予防としての歯のクリーニングまにあう場合もありますし、歯の審美に対する意識が高ければ自費でクリーニングを希望する方もいるので、自分に合った方法でメンテナンスしていきましょう。
この自費の歯のクリーニング(PMTC・ステインオフ)がどのような施術をするのか分かりやすいようにスタッフに協力していただき、説明動画を作製していただいたので、参考に是非ご覧になって下さい!!
