こんにちは!
歯科衛生士の本田です(^ ^)
まだまだインフルエンザや風邪が
流行っていますね(´;ω;`)
当院では、インフルエンザになった場合は、
治療、定期検診・クリーニング、
どのご予約内容でもご予約を変更して
いただいております。
患者様の中には、来院される患者様本人
ではなく、そのご家族の方が
インフルエンザになった場合でも
ご予約を変更したいと申し出てくださる
患者様もいらっしゃいました。
当医院スタッフや他の患者様に
ご配慮いただきありがとうございます(´;ω;`)
当医院スタッフも体調を万全にして、毎日
患者様をお迎えしたいと思います(^ ^)
さて今回も、お子さんの定期検診を
担当している際にあったご質問に
注目しました。
みなさんご自身、もしくはお子さんの
歯ぐきを鏡でしっかりと見たことは
ありますか?
その中で歯ぐきがこのような色を
している方はいらっしゃいませんか?
注目するところは、歯ぐきの色です。
茶色になっているところがありますね。
これは、メラニン色素沈着と言います。
実はこの写真は、10歳のお子さんのお口の中です。
さて、何が原因で歯ぐきがこのような
色になってしまったのでしょうか?
正解はタバコです。
もちろん、10歳のお子さん本人がタバコを吸って
いたのではありません。笑
これは、一緒に暮らすお父さんが
タバコを吸っていて、このお子さんは
受動喫煙で歯ぐきに色がついてしまった
のです(ーー;)
受動喫煙とは、喫煙者本人ではなく、
その周囲の人が、間接的にタバコの煙を
吸い込むことを言います。また、喫煙者本人と
同じくらいタバコの影響があると言われています。
日焼けしたときに肌が黒くなるのは、
紫外線の害から肌を守るために、
メラニン色素を作るためだと言われています。
同じようにタバコを吸うと、ニコチンやタール
などの有害物質から、歯ぐきを守るために
メラニン色素が作られ、黒ずみます。
また、タールが歯ぐきに付着したり、
歯ぐきの血流が悪くなることも歯ぐきの
色が黒ずむ原因と言われています。
実は、私も歯ぐきにメラニン色素沈着があります。
私の場合は、生まれた頃から私が高校生に
なるまで父と祖父がタバコを吸っている空間で
一緒に過ごしたからだと思っています。
今は父も禁煙して5年以上経ち、祖父も
外でしか吸わなくなったので、タバコの
煙は当分吸っていませんが、いまでも
メラニン色素沈着はそのまま残っています。
笑っても特に茶色になった歯ぐきが
相手に見えるわけではないので、私は
特に気にしていません( ・∇・)笑
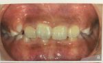
先程の写真の10歳のお子さんは、
歯の矯正も含め、黒ずんだ歯ぐきの除去、
歯ぐきの形態を変える手術も行い、
このようにキレイになった
そうです。

(先程の写真の10歳のお子さんが、
23歳になったときの写真です)
メラニン色素沈着が起こった歯ぐきの
色を戻すには、主にレーザーによる色素沈着部
の組織除去や、歯ぐきの漂白法があります。
(当医院では行っておりません)
どちらもお子さんには難しいので、
お子さんの場合は、成人になってから
考えてみてはいかがでしょうか?
お子さんやご自身のお口の中には
たくさんの症状がみられますね。
もし、何か気になった際は、まずは
かかりつけ歯科医院で相談してみましょう(^^)
